Systemic fungal infections require correct diagnosis and effective treatment 

Published on 09/23/2019

Like bacteria, fungi can infect our pets. Unlike bacteria however, fungal infections can’t be treated with antibiotics, but instead require a class of drugs called anti-fungals. 

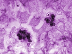
Histoplasma capsulatum

View other articles from this Cultured Connections
 


While there are many know strains of fungi, there are a few that most commonly cause systemic disease in pets. Three of these potentially disease causing fungi include:

  • Histoplasma capsulatum (causes histoplasmosis)
  • Blastomyces dermatitidis (causes blastomycosis),
  • Coccidioides immitis (causes coccidioidomycosis)

Fungal diseases may be confined to a body surface (for instance, ringworm is caused by a fungus), or they may become systemic (meaning spread through body systems). Systemic fungal disease, also known as systemic mycosis, is characterized by entry of a fungal organism into an animal and subsequent spread to various organs of the body. Fungi enter the body via the lungs, through the gut, paranasal sinuses or skin, and can go anywhere in the body, but each fungal species has preferred locations, such as the lungs, eyes, or lymph nodes.

The University of Missouri has published a compelling review.
Click here to read ►
 

Published in the following categories: Companion Animal Dermatophytes Veterinary